Η επιγονατίδα (patella ή kneecap) είναι ένα οστό το οποίο βρίσκεται στην πρόσθια επιφάνεια του γόνατος και συμμετέχει στις κινήσεις κάμψης και έκτασης της άρθρωσης. Είναι το μεγαλύτερο σησαμοειδές οστό (περικλείεται δηλαδή σε τένοντα) του ανθρωπίνου σώματος και συμμετέχει στον εκτατικό μηχανισμό του γόνατος.
Στοιχεία ανατομίας της επιγονατίδας
Η επιγονατίδα φυσιολογικά κινείται προς τα κάτω και πάνω κατά την κίνηση κάμψης και έκτασης του γόνατος αυξάνοντας τον μοχλοβραχίονα για να επιτευχθεί αυτή ή κίνηση. Ακολουθεί την πορεία της μηριαίας τροχιλίας, μιας αύλακας δηλαδή στην πρόσθια επιφάνεια του μηρού, σχηματίζοντας την επιγονατιδομηριαία άρθρωση.
Συνδέει τον τένοντα του τετρακεφάλου προς τα άνω με τον επιγονατιδικό τένοντα που καταλήγει προς τα κάτω στην κνήμη.
Η φυσιολογική ολίσθηση της επιγονατίδας εντός της μηριαίας τροχιλίας εξαρτάται από ποικίλους παράγοντες οι κυριότεροι εκ των οποίων είναι:
- Το σχήμα και το βάθος της μηριαίας τροχιλίας.
- Οι πλάγιοι καθεκτικοί σύνδεσμοι που συγκρατούν την επιγονατίδα εντός θέσης και παίζουν το ρόλο στατικών σταθεροποιητών.
- Οι μύες πέριξ του γόνατος που ανήκουν στους δυναμικούς σταθεροποιητές.
Τι είναι το εξάρθρημα επιγονατίδας;
Ως εξάρθρημα ορίζεται η μετατόπιση της επιγονατίδας εκτός θέσης από τη μηριαία τροχιλία. Αυτό συνήθως συμβαίνει συνεπεία ενός βίαιου τραυματισμού με στροφική κάκωση (π.χ πτώση, αθλητικός τραυματισμός) και αφορά στην πλειοψηφία εφήβους και νεαρότερα σε ηλικία άτομα.
Σχεδόν πάντα η επιγονατίδα εξαρθρώνεται επι τα εκτός της μηριαίας τροχιλίας και είτε ανατάσσεται αυτόματα μετά την έκταση του γόνατος από τον ίδιο τον ασθενή είτε με κατάλληλους χειρισμούς στο νοσοκομείο.

Ανατομικά αίτια που προδιαθέτουν σε εξάρθρημα και αστάθεια επιγονατίδας
- Δυσπλαστική μηριαία τροχιλία. Ανευρίσκεται σχεδόν στο σύνολο των ασθενών που κάνουν αλλεπάληλα επεισόδια εξαρθρήματος. Στην ουσία πρόκειται για σχηματισμό αβαθούς τροχιλίας (πιο ρηχής), άρα κατά συνέπεια κάνει πιο ασταθή την επιγονατίδα κατά την κίνηση του γόνατος.
- Υψηλή θέση επιγονατίδας (patella alta).
- Μεγάλη στροφή της κνήμης σε σχέση με τον μηρό.
- Αυξημένη κλίση της επιγονατίδας προς τα έξω της επιγονατίδας (lateral tilt) λόγω ανισορροπίας των συνδέσμων που την συγκρατούν εντός θέσης.
Απεικονιστική διερεύνηση ασθενών με εξάρθρημα επιγονατίδας
Όπως αναφέραμε και πιο πριν θα πρέπει να γίνει ένας διαχωρισμός του οξέος τραυματικού επεισοδίου που οδηγεί στο εξάρθρημα επιγονατίδας με την αστάθεια που είναι αποτέλεσμα επανηλλειμένων επεισοδίων εξαρθρήματος και μπορεί να οφείλονται και σε ανατομικές ανωμαλίες του γόνατος του ασθενούς.
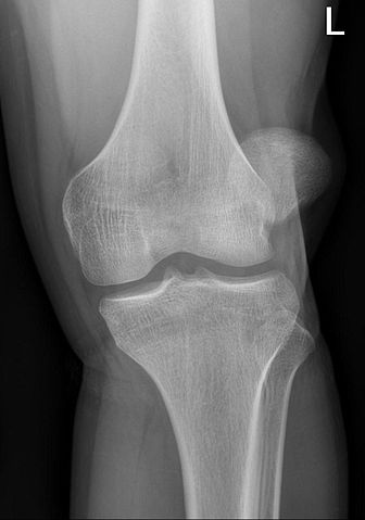
- Αρχικώς ο ασθενής θα πρέπει να κάνει πάντα ακτινογραφίες προ και μετά ανατάξεως του εξαρθρήματος για τον έλεγχο της θέσης ανάταξης και τυχόν συνοδών βλαβών. Η ακτινογραφία πριν την ανάταξη δεν είναι πάντοτε εφικτή λόγω συνθηκών παρόλα αυτά ο ασθενής πάντα θα πρέπει να υποβάλλεται σε έλεγχο τουλάχιστον μετά την ανάταξη.
- Αξονική και μαγνητική τομογραφία χρειάζονται για τον έλεγχο ανατομικών ανωμαλιών του γόνατος που οδηγούν σε εξάρθρημα (π.χ αβαθής τροχιλία) και άλλων βλαβών που τυχόν προέκυψαν (π.χ οστεοχόνδρινα ελεύθερα τεμάχια, κακώσεις καθεκτικών και πλαγίων συνδέσμων).
Πώς αντιμετωπίζεται το εξάρθρημα επιγονατίδας;
Αρχικώς προέχει η ανάταξη του εξαρθρήματος και η εκτίμηση του ασθενούς από έναν εξειδικευμένο Ιατρό με εμπειρία στις αθλητικές κακώσεις. Στη συνέχεια θα προχωρήσουμε στον απαιτούμενο απεικονιστικό έλεγχο.
Ο ασθενής θα χρειαστεί να ακινητοποιήσει το γόνατο του σε έκταση με έναν ειδικό νάρθηκα για 4 εβδομάδες προκειμένου να επουλωθούν οι βλάβες των συνδέσμων και των μαλακών μορίων και σταδιακή φόρτιση και βάδιση ανάλογα με τα ενοχλήματα. Έπειτα θα ακολουθήσει ένα πρόγραμμα φυσικοθεραπείας με κινησιοθεραπεία και μυϊκή ενδυνάμωση για αποτροπή μελλοντικών εξαρθρημάτων.

Χειρουργική αντιμετώπιση εξαρθρήματος και αστάθειας επιγονατίδας
Οι χειρουργικές τεχνικές εξατομικεύονται ανάλογα με την ύπαρξη ή όχι ανατομικών ανωμαλιών και περιλαμβάνουν είτε ανοιχτή είτε αρθροσκοπική αντιμετώπιση. Οι πιο συχνές είναι:
- Ανακατασκευή του έσω επιγονατιδομηριαίου συνδέσμου (MPFL) με αυτόλογο μόσχευμα (από τον ίδιο τον ασθενή).
- Πλαστική μηριαίας τροχιλίας
- Αφαίρεση οστεοχόνδρινων ελεύθερων τεμαχίων
- Μετάθεση κνημιαίου κυρτώματος
Μετεγχειρητικά θα ακολουθήσει ένα εξατομικευμένο πρόγραμμα φυσικοθεραπευτικής αποκατάστασης που στόχο έχει την επαναφορά του ασθενούς σε πλήρη καθημερινή και αθλητική δραστηριότητα.
























