Μάθε τι είναι το εξάρθρημα κλείδας και ποια είναι η θεραπεία του και η μετέπειτα αποκατάσταση.
Η κλείδα είναι το οστό που συνδέει την ωμοπλάτη με τον κορμό. Στο εξωτερικό άκρο της σχηματίζει την ακρωμιοκλειδική άρθρωση (Acromioclavicular – AC joint). Οι κακώσεις της περιοχής είναι αρκετά συχνές ειδικότερα σε νέους και δραστήριους ανθρώπους και προκαλούνται από άμεση πλήξη.
Η κλείδα συγκρατείται στην ωμοπλάτη με πολύ ισχυρούς συνδέσμους (ακρωμιοκλειδικοί & κορακοκλειδικοί σύνδεσμοι) οι οποίοι κατά την κάκωση υφίστανται κάποιου είδους τραυματισμό που μπορεί να φτάσει εώς και την πλήρη ρήξη τους και το οστό της κλείδας να παρεκτοπιστεί από τη θέση του και να εξαρθρωθεί από την ακρωμιοκλειδική άρθρωση.
Μετά την κάκωση της κλείδας (εξάρθρημα) ο ασθενής εμφανίζει ισχυρό πόνο στην περιοχή του ώμου και αδυναμία ανύψωσης του άκρου. Η παραμόρφωση ανάλογα με το βαθμό της κάκωσης μπορεί να είναι εμφανής.
Τύποι εξαρθρήματος ακρωμιοκλειδικής άρθρωσης
Ανάλογα με το βαθμό της παρεκτόπισης της κλείδας σε σχέση με το ακρώμιο και την κάκωση των συνδέσμων που τη συγκρατούν, ενα εξάρθρημα στην κλείδα διακρίνεται σε 6 τύπους:
- 1ου βαθμού – διάταση των συνδέσμων
- 2ου βαθμού – μερική ρήξη των συνδέσμων
- 3ου βαθμού – ολική ρήξη των συνδέσμων
- 4ου βαθμού – ολική ρήξη των συνδέσμων και παρεκτόπιση της κλείδας προς τα πίσω
- 5ου βαθμού – ολική ρήξη των συνδέσμων και της υπερκείμενης περιτονίας
- 6ου βαθμού – παρεκτόπιση της κλείδας προς τα κάτω
Θεραπεία: Πώς αντιμετωπίζεται το εξάρθρημα της κλείδας;
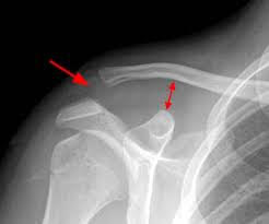
Η διάγνωση γίνεται κατά την κλινική εξέταση του ασθενούς, τη λήψη του ιστορικού και απεικονιστικά με απλές ακτινογραφίες και κατά περίπτωση μαγνητική τομογραφία ώμου. Πάμε να δούμε ποιες είναι οι ενδεδειγμένες θεραπείες ανα περίπτωση ενός εξαρθρήματος κλειδας.
Οι κακώσεις 1ου και 2ου βαθμού αντιμετωπίζονται συντηρητικά με παγοθεραπεία, παυσίπονα και ανάπαυση του άκρου σε έναν απλό φάκελο – ανάρτηση για 3 εβδομάδες. Στη συνέχεια της θεραπείας θα ακολουθήσει προοδευτικά πρόγραμμα κινησιοθεραπείας για την ανάκτηση του εύρους κίνησης.
Η κάκωση 3ου βαθμού παραμένει αμφιλεγόμενη όσον αφορά τον συντηρητικό ή χειρουργικό τρόπο αντιμετώπισης της στη διεθνή επιστημονική κοινότητα. Συνυπολογίζονται η ηλικία και το επίπεδο δραστηριότητας του ασθενούς πριν τη λήψη της τελικής απόφασης.

Οι τραυματισμοί 4ου - 5ου - 6ου βαθμού εξαρθρήματος κλείδας αντιμετωπίζονται χειρουργικά. Η χειρουργική αποκατάσταση διαρκεί κατά μέσο όρο 1 - 1 ½ ώρα και γίνεται με μία mini-open πρόσθια τομή στην περιοχή του ώμου 4 - 5 εκατοστών. Ο χρόνος του χειρουργείου θα πρέπει να γίνεται τις πρώτες 2 - 3 εβδομάδες από τον αρχικό τραυματισμό το αργότερο. Ο ασθενής που δε θα χειρουργηθεί έχει αυξημένα ποσοστά ανάπτυξης μετατραυματικής αρθρίτιδας της ακρωμιοκλειδικής που μεταφράζεται με πόνο και αδυναμία κατά την κίνηση του ώμου.
Η αποκατάσταση μετα απο την επέμβαση μετα απο εξάρθρωση στην κλείδα περιλαμβάνει ελεγχόμενη χρήση του άκρου τις πρώτες 3 εβδομάδες μετεγχειρητικά και στη συνέχεια ένα εξατομικευμένο πρωτόκολλο αποκατάστασης και κινησιοθεραπείας για την τελική ανάκτηση του πλήρους εύρους κίνησης.

























